Skip to content

Nook Street Dental – Private Dentist in Workington

Tooth Wear | Nook Street Dental

Tooth Wear is becoming an increasingly common problem that we see and treat in our patients. It is a chronic and progressive disease meaning it tends to happen relatively slowly but gradually worsens over time. Eventually it can lead to pain and potentially tooth loss!

Tooth wear has multiple causes often with a number of factors working together.  A basic list is below.

Abrasion: Teeth can wear due to objects such as a toothbrush used with too much pressure rubbing against the surface, this is called abrasion.

Attrition: When teeth rub against each other and wear each other down with the forces of chewing, clenching or grinding this is called attrition. 

Erosion: Acids in the diet (soft drinks/juices) or sometimes due to medical conditions like acid reflux will erode and wear the tooth surfaces down. This is called erosion. 

Trauma: Trauma to the teeth is not strictly tooth wear as this tends to be a “one off” incident but it can contribute to the loss of tooth structure and be a factor in teeth wearing down quicker.

Treatments for tooth wear vary and there are often a combination of treatment options required. Treatment can be complex and can take a significant amount of time to treat both in planning and delivering the treatment, with often long treatment appointments and it can involve long periods of monitoring between stages to ensure no problems occur due to the changes. Mild cases can often benefit from a preventative approach, remove the cause where possible, repair what has been lost if necessary with minimally invasive restorations such as composite bonding and protect the teeth with splints or nightguards to help preserve them. Moderate to Severe cases become a little more complex, the principles of prevention and protection are still key elements to treatment but these cases often involve more teeth needing to be treated which can often be the full mouth. They are likely to also require more complex restorations such as crowns or implants where teeth need to be replaced. Each case is treated individually and will require bespoke treatment for that individual.

Our Dentists and Dental Therapists will assess you and inform you of any issues regarding tooth wear at your dental health examinations and can offer options for treatment. Often early treatment and prevention can prevent much more complex and costly treatment in the future.

Below are some cases that demonstrate some of the treatment methods required to preserve teeth when they are worn.

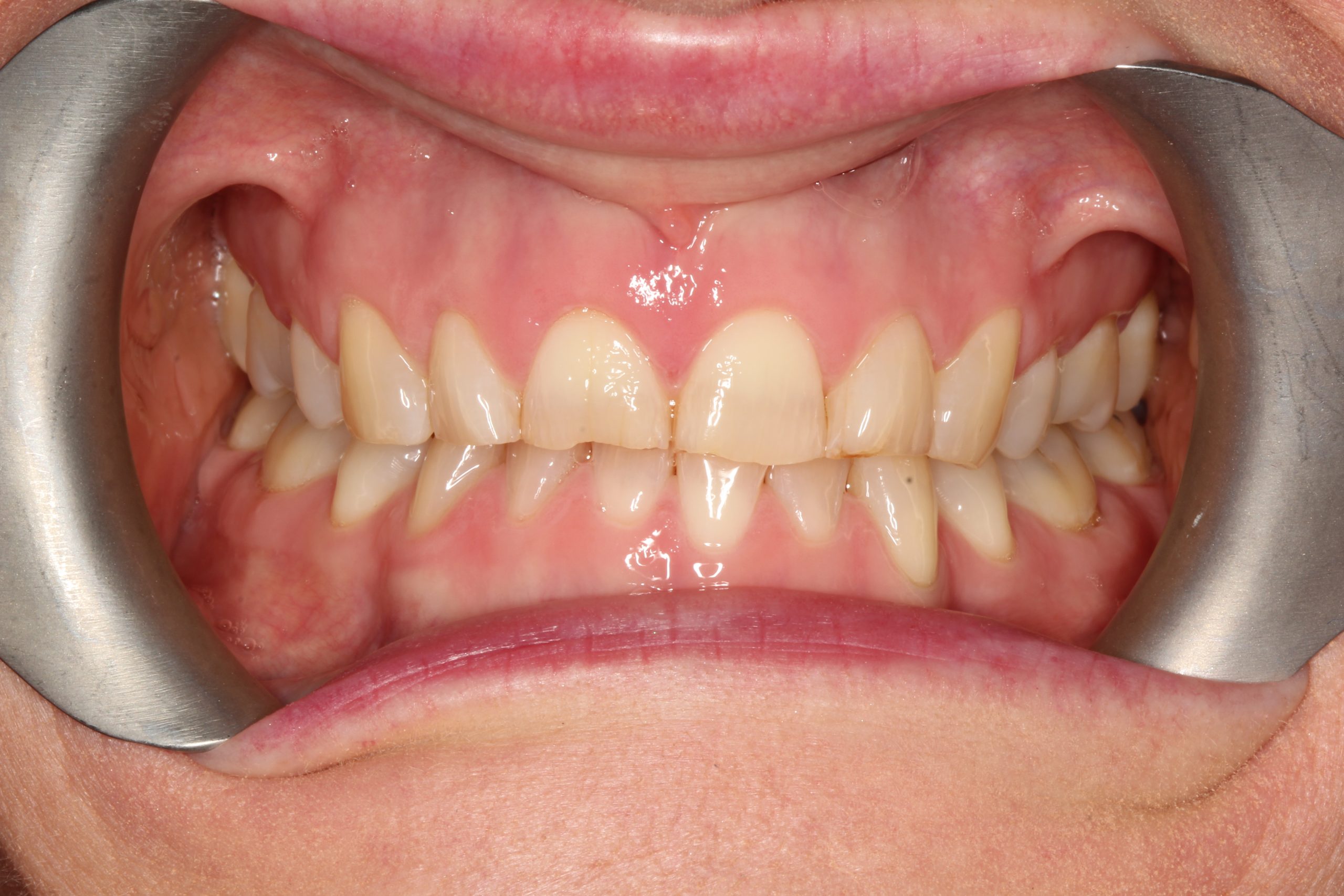
Case Example

*Treatment by Dr Anthony Davies

Worn anterior teeth treated with whitening and composite bonding. Minimally invasive treatment changing the bite and repairing the teeth.

Where can I have treatment?

Both Dr Anthony Davies and Dr Chaitanya Joshi have some experience in treating tooth wear and are happy to advise on options for treatment and if you are suitable for treatment.

Some cases can be very complex and referral is sometimes required for specialist treatment if it is outside of our dentists capabilities.

Please ask your dentist or dental therapist if you are not sure and they will guide you.

Please note that you must be dentally fit and stable in order to undergo complex dental procedures.